Nota do editor: A série Casos Clínicos aborda doenças difíceis de diagnosticar, algumas das quais não são vistas com frequência pela maioria dos médicos, mas é importante poder reconhecer com precisão. Teste sua capacidade diagnóstica e terapêutica usando o caso clínico a seguir e as perguntas correspondentes.
Contexto
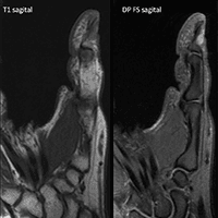
Paciente do sexo feminino, 47 anos, com lesão nodular dolorosa subungueal no I dedo há meses. Relata aumento da sensibilidade nesta região, especialmente no frio.
Imagens
© 2020 WebMD, LLC
As opiniões expressas aqui são de responsabilidade pessoal do autor e não representam necessariamente a posição da WebMD ou do Medscape.
Citar este artigo: Lesão nodular dolorosa subungueal no dedo com aumento da sensibilidade - Medscape - 16 de janeiro de 2020.
Comente