Homem de 65 anos com abdome muito distendido

Dr. Prashanth Rawla; Dr. Jeffrey Pradeep Raj

Notificação

7 de janeiro de 2020

Nota do editor:
A série Casos Clínicos aborda doenças difíceis de diagnosticar, algumas das quais não são vistas com frequência pela maioria dos médicos, mas é importante poder reconhecer com precisão. Teste a sua capacidade diagnóstica e terapêutica com o caso deste paciente e as perguntas correspondentes.

Contexto

Homem caucasiano de 65 anos chega ao pronto-socorro com grande distensão abdominal. Informa que seu abdome tem estado cada vez mais distendido nos últimos quatro dias. Refere diminuição do apetite e náuseas, sem vômitos. Também descreve desconforto abdominal e leve dor difusa. Relata que a sua última deposição de fezes foi há cinco dias. Está eliminando flatos.

Nega febre, calafrios ou dor torácica. Menciona dificuldade de respirar. A anamnese revela história de hipotireoidismo, que ele trata com levotiroxina. Também foi diagnosticado com doença pulmonar obstrutiva crônica (DPOC) para a qual usa albuterol inalatório, budesonida e formoterol inalatórios. Também apresenta hipertensão arterial sistêmica , para a qual  toma anlodipino, e hiperlipidemia, para a qual toma atorvastatina.

Sua história cirúrgica revela reparo de laceração do menisco no joelho direito. O paciente informa história de tabagismo de 50 maços-ano e nega história significativa de uso de álcool ou drogas ilícitas.

Recentemente foi internado por exacerbação da DPOC e bronquite aguda. A internação foi prolongada (sete dias), e ele foi tratado com metilprednisolona intravenosa, albuterol, budesonida e arformoterol intravenosos. O paciente teve alta domiciliar com prescrição de redução gradual da dose de prednisona oral há quatro dias.

Exame físico e propedêutica

Ao dar entrada no serviço de emergência, o paciente apresenta 37,16 °C de temperatura, frequência cardíaca de 104 batimentos por minuto, frequência respiratória de 22 incursões respiratórias por minuto, pressão arterial de 112 × 84 mmHg e saturação de oxigênio de 92% em ar ambiente.

Ao exame parece desconfortável e está deitado em decúbito dorsal; sua mucosa oral está ressecada. O exame do abdome revela grande distensão abdominal, com leve dor difusa à palpação e sem sinal de descompressão dolorosa nem defesa. Peristalse presente e abdome timpânico. Sua dor abdominal parece desproporcional aos achados do exame físico.

Resultados dos exames laboratoriais:

  • Leucometria: 14.000 células/mm3 (referência de 4.500 a 11.000 células/mm3)

  • Hemoglobina: 13,9 g/dL (referência de 13,5 a 17,5 g/dL)

  • Hematócrito: 37% (referência de 45% a 52%).

  • Contagem de plaquetas: 306.000 células/mm3 (referência de 150.000 a 450.000 células/mm3)

  • Sódio: 135 mEq/L (referência de 135 a 145 mEq/L)

  • Potássio: 3,5 mmol/L (referência de 3,6 a 5,2 mmol/L)

  • Cloreto: 107 mmol/L (referência de 98 a 106 mmol/L)

  • Nitrogênio ureico: 43 g/dL (referência de 7 a 20 mg/dL)

  • Creatinina: 1,51 mg/dL (referência de 0,6 a 1,2 mg/dL)

  • Glicose: 102 mg/dL (referência < 100 mg/dL)

  • Aminotransferase aspartato: 46 U/L (referência de 10 a 40 U/L)

  • Aminotransferase alanina: 41 U/L (referência de 7 a 56 U/L)

  • Fosfatase alcalina: 142 UI/L (referência de 44 a 147 UI/L)

  • Amilase: 25 U/L (referência de 23 a 85 U/L)

  • Lipase: 19 U/L (referência de 0 a 160 U/L)

  • Lactato: 0,7 mmol/L (referência de 0,5 a 1,0 mmol/L)

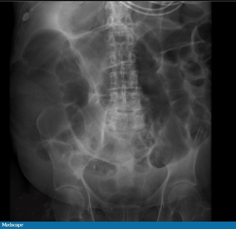
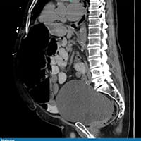
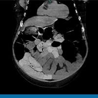
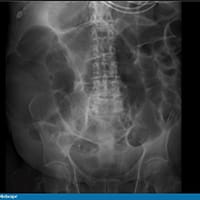
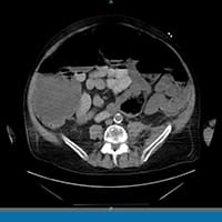
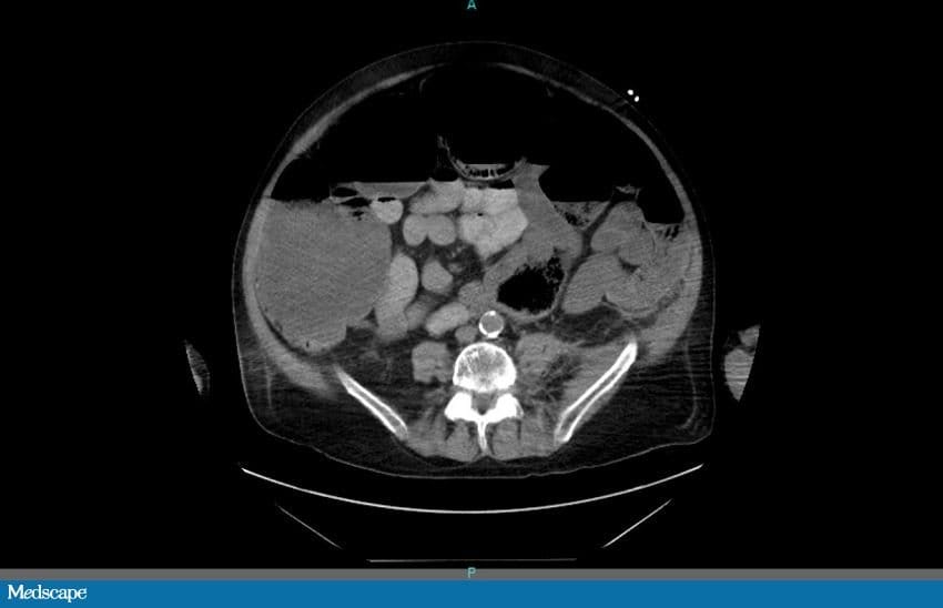
Todos os outros exames laboratoriais estão normais. É feita uma radiografia de abdome. O paciente é internado por causa dos seus exames. Uma tomografia computadorizada (TC) de abdome e pelve sem contraste é feita na sequência. Os achados dos exames de imagem são mostrados abaixo (Figuras 1 a 4).

Comente

3090D553-9492-4563-8681-AD288FA52ACE
Comentários são moderados. Veja os nossos Termos de Uso

processing....