Nota do editor: A série Casos Clínicos aborda doenças difíceis de diagnosticar, algumas das quais não são vistas com frequência pela maioria dos médicos, mas é importante poder reconhecer com precisão. Teste a sua capacidade diagnóstica e terapêutica com o caso desta paciente e as perguntas correspondentes.
Contexto
Uma jovem de 16 anos de idade procura o pronto-socorro na Macedônia com dor abdominal de início súbito e forte intensidade logo após "ter recebido um abraço de um amigo". A dor começou poucas horas antes da sua chegada ao pronto-socorro. Ela descreve a dor como forte, constante, mais intensa no hipocôndrio direito e irradiando para o ombro direito.
A paciente também refere leve desconforto abdominal e sensação de plenitude abdominal progressiva nos últimos meses, mas não procurou atendimento médico por causa desses sintomas. Ela também se queixa de um exantema difuso e pruriginoso que parece ter surgido ao mesmo tempo que o início do desconforto abdominal.
Nega alergia alimentar e não ingeriu nenhum alimento diferente antes desse episódio. Nega febre, náuseas ou alterações do hábito intestinal. Nega alterações da pigmentação cutânea. Informa uso ocasional de paracetamol nas últimas duas semanas para o desconforto abdominal, mas não toma nenhum medicamento regulamente. Nega doença crônica e não tem antecedentes cirúrgicos. Informa não ter nada relevante na sua história familiar. Ela tem dois cães em sua casa, sem outros animais de estimação.
Exame físico e propedêutica
Ao exame, a paciente parece enferma. Temperatura 37,3 °C, pressão arterial de 110 × 70 mmHg e frequência cardíaca de 110 batimentos por minuto (bpm). Pele pálida e anictérica, porém, com exantema urticariforme difuso, mais proeminente no tronco e na parte proximal dos membros. Aparenta estar bem nutrida e ter desenvolvimento normal.
Tórax com movimentos simétricos durante a respiração, ausculta revela murmúrio vesicular universal sem adventícios. Bulhas normofonéticas em ritmo regular, sem sopros. A palpação revela uma massa firme na borda hepática no quadrante superior direito. Todo o andar superior do abdome está acentuadamente doloroso, com defesa, particularmente na região subcostal direita.
Seus resultados laboratoriais revelam leucocitose, leucometria de 18,6 × 103/µL (18,6 × 109/L) com 40% neutrófilos, 22% linfócitos, 8% monócitos e 21% eosinófilos (valores de referência: leucometria 4,5 a 11,0 × 103/µL; neutrófilos = 40% a 70%; linfócitos = 22% a 44%; monócitos = 4% a 11%; eosinófilos = 0% a 8%). Bilirrubina total aumentada com 1,98 mg/dL (33,8 μmol/L) também foi observada (valores de referência: 0,3 a 7,0 mg/dL). Aminotransferase aspartato (AST) = 101 U/L e aminotransferase alanina (ALT) = 104,7 U/L. Hematócrito e plaquetas normais.
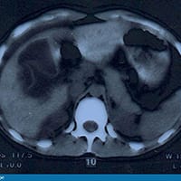
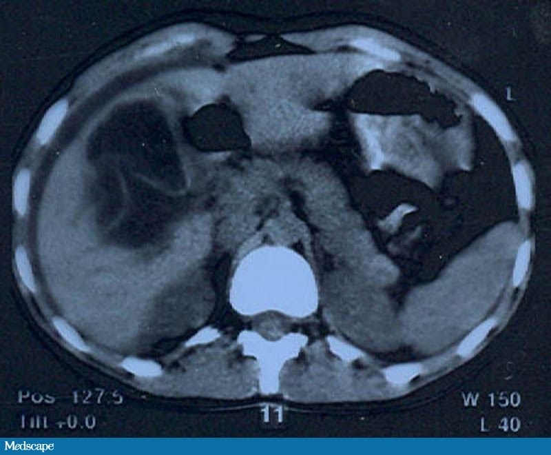
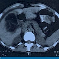
Uma radiografia do abdome em posição ortostática mostra um padrão de gases intestinais inespecífico, sem pneumoperitônio. É feita uma ultrassonografia por suspeita de possível doença da vesícula biliar; o exame revela uma grande zona hipoecoica hepática com margens irregulares e uma pequena quantidade de líquido livre circundando o fígado. Na sequência, é feita a tomografia computadorizada (TC) do abdome (Figuras 1 e 2).
Figura 1.
Figura 2.
© 2019 WebMD, LLC
As opiniões expressas aqui são de responsabilidade pessoal do autor e não representam necessariamente a posição da WebMD ou do Medscape.
Citar este artigo: Jovem de 16 anos com fortes dores abdominais após um abraço - Medscape - 5 de dezembro de 2019.
Comente