Discussão
O edema de face é um problema clínico comum entre as crianças. As origens de uma massa ou edema de face podem variar de causas congênitas ou adquiridas (p. ex., infecção) a tumores benignos ou câncer em partes moles ou osso. A anamnese, o exame físico minucioso e o conhecimento da localização e das características clínicas da lesão são os fatores mais importantes na avaliação do edema de face para formular um diagnóstico diferencial e planejar novos procedimentos.
As manifestações clínicas gerais do edema de face podem ser classificadas em quatro grupos: edema inflamatório agudo, edema não progressivo, edema de progressão lenta e edema de progressão rápida.
O processo inflamatório é a etiologia mais comum do edema de face na infância; a linfadenite é a causa mais comum, seguida de sinusite e infecção odontogênica. O edema não progressivo no centro da face é sugestivo de anomalia congênita (p. ex., encefalocele fronto-etmoidal, glioma nasal, cisto dermoide nasal e cisto epidermoide). O edema de progressão lenta pode ser secundário a uma massa, como o neurofibroma, a malformação vascular ou linfática ou o hemangioma; também pode ser decorrente de doença óssea como a displasia fibrosa.
As lesões de progressão rápida associadas a déficits dos pares cranianos são sugestivas de câncer. [1,2] O diagnóstico diferencial de câncer em caso de edema de face de progressão rápida na infância deve contemplar rabdomiossarcoma, histiocitose de células de Langerhans, neuroblastoma metastático, linfoma e sarcoma de Ewing (SE) . [3]
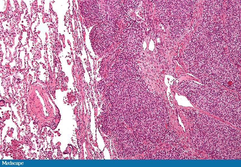
O sarcoma de Ewing é um tumor maligno dos ossos e partes moles cuja origem é presumivelmente mesenquimal; é tipicamente diagnosticado na segunda década de vida. [4,5] Histologicamente, o sarcoma de Ewing é formado por pequenas células hipercromáticas redondas ou ovaladas com pouquíssimo citoplasma (Figura 2). Em 75% dos casos os resultados de coloração por PAS são positivos. A superexpressão da proteína de superfície da membrana CD99 é uma característica universal do sarcoma de Ewing; embora semelhante à coloração por PAS, não é inteiramente específica (Figura 3). [6,7]
Figura 2.
Figura 3.
Muitas vezes é necessário fazer exames de biologia molecular para confirmar o diagnóstico. Em 95% dos casos de sarcoma de Ewing é detectada uma translocação equilibrada EWS/ETS. [8] A proteína de fusão quimérica age como potente regulador da transcrição. Apesar do tratamento multimodal, inclusive com tratamento local definitivo, 30% dos pacientes com doença localizada e de 75% a 80% dos pacientes com doença metastática morrem até cinco anos após o diagnóstico. [9,10]
Os tumores malignos primários da mandíbula são raros; o diagnóstico e o tratamento do sarcoma de Ewing nestes casos podem ser um desafio. Além de sua raridade, observa-se superposição morfológica e imuno-histoquímica entre os tumores mais comuns na região da cabeça e do pescoço. O sarcoma de Ewing representa apenas de 1% a 9% de tumores nesta região. Menos de 3% de todos os sarcomas de Ewing na região maxilofacial costumam comprometer a mandíbula, e com menos frequência a maxila. [11,12] A maioria dos pacientes é do sexo masculino e tem entre 5 e 20 anos de idade.
Os achados clínicos no sarcoma de Ewing na região de cabeça e pescoço são inespecíficos e geralmente os tumores apresentam crescimento rápido, edema e dor. Além disso, quando a mandíbula está comprometida, não é raro os dentes ficarem amolecidos, haver infecção do ouvido médio e parestesia. [10,13,14] Ocasionalmente, são observados sinais e sintomas sistêmicos, como febre baixa ou moderada, que costuma ser remitente, perda de peso e anemia, e se correlacionam com doença mais avançada ou metastática. [15,16,17]
Radiologicamente o sarcoma de Ewing aparece como uma lesão osteolítica mal definida, que com frequência pode estar associada a erosão da cortical e massa em partes moles adjacentes ao sítio de destruição óssea. [18,19] Embora na maioria das vezes o sarcoma de Ewing apresente alterações osteolíticas com destruição óssea, isso não é patognomônico. O diagnóstico diferencial das lesões osteolíticas indiferenciadas com o mesmo padrão de imagem é feito com neuroblastoma, sarcoma osteogênico, histiocitose de células de Langerhans e osteomielite. [1] Além da radiografia convencional, a ressonância magnética (RM) e a TC são muito recomendadas para a avaliação precisa da extensão da lesão antes de iniciar o tratamento. [19]
Neste caso, é importante correlacionar os sinais e sintomas da paciente com o padrão de diagnósticos diferenciais de edema de face e doenças sistêmicas. O rápido desenvolvimento de edema (em semanas), a parestesia localizada indicando o comprometimento de pares cranianos e o crescimento progressivo, apesar da antibioticoterapia, devem indicar o diagnóstico de câncer. Febre baixa recorrente, anemia normocítica e normocrômica e fadiga são outros sinais inespecíficos de neoplasia maligna, possivelmente com metástase. [20,21]
Febre, mal-estar, perda do apetite e perda ponderal, podem mimetizar a sepse ou o neuroblastoma disseminado. No entanto, em pacientes normotensos com mais de cinco anos de idade sem massa abdominal, sinais e sintomas autonômicos ou equimose periorbitária por comprometimento da órbita tornam o neuroblastoma clinicamente improvável. Claramente, a avaliação das catecolaminas urinárias é fundamental para descartar esse diagnóstico. [22,23] A ausência de linfonodos palpáveis torna o linfoma improvável. Contudo, dor, edema e alteração sensorial são sinais clínicos dos linfomas orais. [24]
O linfoma de Hodgkin ocorre mais comumente na adolescência, enquanto o linfoma não Hodgkin (LNH) tem predomínio entre as crianças com menos de 10 anos. De todos os diferentes tipos de LNH, o linfoma de Burkitt endêmico é o que mais apresenta tumores de mandíbula ou ossos da face. O linfoma de Burkitt esporádico, não endêmico, representa o subtipo mais comum de LNH, mas em geral cursa com manifestações abdominais, como sangramento, obstrução intestinal, e ascite. [25]
A dor da paciente no membro inferior, em particular, tinha de ser tanto incluída como excluída do diagnóstico diferencial. Pode ter sido causada por trauma, independentemente do processo na face, pois sua ocorrência noturna e o alívio da dor com anti-inflamatórios não hormonais pode indicar osteoma osteoide transmitido pela artrite. Também pode ser causada por lúpus eritematoso sistêmico com anemia e derrame pleural . [26,27,28] O quadro também poderia ser relacionado com o foco tumoral na face, como metástase ou tumor primário.
Em caso de osteomielite, a cefaleia e a dor no membro inferior podem ser sinais de êmbolos infecciosos para o seio cavernoso e a medula óssea. [29,30] Os tumores malignos da face e do crânio também podem causar trombose do seio cavernoso. [31]
Além disso, a apresentação inicial de dor no membro inferior e na mandíbula é sugestiva de múltiplas lesões ósseas por histiocitose de células de Langerhans. [32,33] As lesões craniofaciais são as lesões mais frequentes na apresentação dos pacientes com histiocitose de células de Langerhans; a localização na mandíbula tende a ser mais comum nos adultos do que nas crianças. [34] Os altos níveis das enzimas hepáticas podem indicar comprometimento hepático por colangite esclerosante, que é comum em muitos pacientes com histiocitose de células de Langerhans multissistêmica. [35] Deve ser feita uma ultrassonografia abdominal.
Diante das crepitações pulmonares, da febre da paciente e da infecção do seu irmão, devem ser feitas imagens radiográficas do tórax para detectar algum foco infeccioso ou neoplásico.
No caso de lesão de face progressiva, mesmo no quadro comum de infecção odontogênica com presumível abscesso subjacente que pode exigir drenagem, o exame de imagem é indicado, e deve preceder qualquer procedimento invasivo. Muitas vezes o padrão da imagem dá indícios para o diagnóstico, e revela a extensão da massa, que é necessária para planejar a biópsia subsequente. Os padrões de imagem da osteomielite e do câncer são semelhantes. [18,36] Se o quadro clínico for inespecífico, amostras da drenagem devem ser examinadas pelo patologista.
Os exames clínicos e diagnósticos por imagem podem diminuir o leque diagnóstico apenas até certo ponto. Portanto, o exame histopatológico é necessário, especialmente para discernir entre diferentes tipos de câncer. Neste caso, o carcinoma metastático, os tumores musculares e vários linfomas foram descartados pelos resultados negativos de citoqueratina, desmina e antígeno comum leucocitário, respectivamente. A superexpressão de CD99 e a expressão de vários marcadores neurais, como S-100 e vimentina, são características prováveis do sarcoma de Ewing. Entretanto, o neuroblastoma não expressa CD99, mas é sistematicamente positivo para a enolase neurospecífica e a cromogranina A.
O rabdomiossarcoma costuma ser positivo para o antígeno de músculo liso, desmina e miogenina. [37] O exame anatomopatológico molecular de translocação cromossômica utilizando hibridização fluorescente in situ, cariótipo espectral ou reação em cadeia da polimerase com transcriptase reversa (RT-PCR, sigla do inglês Reverse-Transcriptase Polymerase Chain Reaction) deve, por fim, confirmar o sarcoma de Ewing.
A sobrevida entre os pacientes com sarcoma de Ewing de cabeça e pescoço parece ser significativamente melhor se a ressecção tumoral completa puder ser feita. [14,38] Mesmo quando o sarcoma de Ewing parecer ser ressecável, é necessário fazer quimioterapia neoadjuvante para erradicar a doença micrometastática. [39] Pode ser difícil de fazer a ressecção completa na região craniofacial sem causar grandes sequelas estéticas ou funcionais. [40] A combinação de cirurgia ablativa e reconstrutiva no mesmo procedimento é desejável para minimizar as deformidades e tempo total de tratamento, e para evitar a retração da ferida e o deslocamento de segmentos ósseos. [41,42]
O controle local com radioterapia para alguns pacientes com sarcoma de Ewing foi semelhante ao observado em relatos de casuísticas cirúrgicas informando controle do tumor de 90% a 95% em cinco anos. [43,44,45] Como a cirurgia muitas vezes se limita aos pacientes com lesões ressecáveis e a radioterapia é reservada para as lesões irressecáveis, uma comparação direta entre os resultados das duas modalidades terapêuticas pode não ser justificável no sarcoma de Ewing craniofacial. Grandes tumores são mal controlados localmente por radioterapia definitiva, independentemente da dose de radiação utilizada; no entanto, os pacientes com menos de 14 anos podem se beneficiar mais da radioterapia como única modalidade local. [45]
Todos os pacientes com diagnóstico de sarcoma de Ewing devem ser incluídos em ensaios clínicos e tratados de acordo com os esquemas terapêuticos vigentes. O controle local costuma ocorrer após o sexto ciclo da quimioterapia de indução, com preferência para a intervenção cirúrgica, com ou sem radioterapia.
Neste caso, procedimentos de estadiamento revelaram não haver sinais de doença sistêmica, e a paciente começou um esquema com vários quimioterápicos: vincristina, ifosfamida, doxorrubicina e etoposídeo (de acordo com o protocolo EURO-EWING 99). No entanto, após o primeiro ciclo de quimioterapia, a paciente evoluiu com febre, neutropenia e sepse, que foi tratada com antimicrobianos sistêmicos sem sucesso. Alguns dias mais tarde, seu quadro deteriorou rapidamente e culminou com a sua morte.
Para concluir, o sarcoma de Ewing é um diagnóstico diferencial raro do edema de face nas crianças. O desafio fundamental continua sendo o diagnóstico correto e a sua confirmação para o tratamento adequado e oportuno do paciente. O tratamento multimodal contendo quimioterapia neoadjuvante é essencial. A escolha do tratamento local definitivo nos casos de tumores craniofaciais é discutível e deve ser ajustada a cada caso.
© 2019 WebMD, LLC
As opiniões expressas aqui são de responsabilidade pessoal do autor e não representam necessariamente a posição da WebMD ou do Medscape.
Citar este artigo: Menina de 11 anos com edema de face e dor no membro inferior - Medscape - 11 de novembro de 2019.
Comente