Professor aposentado de 77 anos com cefaleia constante

Dra. Amanda L. Blackmon; Dra. Laura Pinter-Brown

Notificação

15 de agosto de 2019

Discussão

A citometria de fluxo do liquor revelou 48% de células B CD5-positivo com restrição para uma cadeia leve de imunoglobulina kappa, compatível com comprometimento por linfoma de células do manto. Estas células expressam CD20, CD19, CD5 e CD38. A biópsia de medula óssea mostrou uma medula com celularidade baixa a normal com hematopoiese ativa nas três linhagens medulares e sem indícios morfológicos ou imunofenotípicos (pela citometria de fluxo) de linfoma de células B. As tomografias computadorizadas (TC) de tórax, abdome e pelve com contraste foram negativas para linfadenopatia. O liquor foi o único local de recidiva.

O linfoma de células do manto foi diagnosticado neste paciente dois anos antes desta apresentação. Na época, ele fez uma ultrassonografia abdominal de vigilância devido à sua história de hepatite C. O hemograma completo deste momento revelou leucocitose e linfocitose. A citometria de fluxo no sangue periférico revelou uma população com 32% de células B anômalas, expressando CD20, CD19 e CD5. O exame também revelou restrição para cadeia leve kappa. As células não expressavam CD10, CD23 e CD38.

No momento do diagnóstico, a biópsia de medula óssea revelou 50% de comprometimento por linfoma de células do manto. A imuno-histoquímica foi positiva para CD19, CD20, CD5 e ciclina Dl; a Ki-67 não estava aumentada. A tomografia por emissão de pósitrons (PET, sigla do inglês, Positron Emission Tomography) no diagnóstico revelou esplenomegalia com um valor padrão de captação de 4,6 e discreta avidez por fluoro-D-glucose (FDG), sem aumento difuso dos linfonodos cervicais, torácicos, abdominais e pélvicos.

Inicialmente o paciente foi observado por cerca de seis meses após o tratamento e, a seguir, tratado com rituximabe-lenalidomida durante dois meses; no entanto, ele tolerou este tratamento devido a um exantema grau 3. O professor completou seis ciclos de rituximabe-bendamustina, com o acréscimo de citarabina (500 mg) no 5º e no 6º ciclos devido a um platô de resposta (tamanho do baço). O exame de imagem de fim de tratamento mostrou resposta completa. Ele começou o tratamento de manutenção com rituximabe a cada dois meses, que manteve durante um ano e meio antes de apresentar hidrocefalia.

O linfoma de células do manto é uma forma rara de linfoma não-Hodgkin (LNH). É uma neoplasia de pequenas e médias células B maduras, com curso variável da doença. Está associada a baixa sobrevida em longo prazo em comparação com outros tipos de câncer de células B maduras. O linfoma de células do manto representa cerca de 7% dos linfomas não-Hodgkin, com mediana de idade ao diagnóstico de 60 anos, predomínio do sexo masculino, e a mediana de sobrevida de três a cinco anos. [1] O linfoma de células do manto normalmente responde ao tratamento inicial com imunoquimioterapia; no entanto, a maioria dos pacientes apresenta recidiva e tem mau prognóstico. [2] Poucos pacientes têm doença indolente; no entanto, ainda é difícil prever qual será esta população.

O linfoma de células do manto é classicamente definido por translocação adquirida (11;14) (q13;q32) de células pré-B na medula óssea, o que resulta na expressão constitutiva de ciclina D1; isso leva à perda da regulação do ciclo celular. [3] Esta translocação transpõe o gene CCDN1 sob o controle do locus da cadeia pesada da imunoglobulina (14q32), o que leva à expressão constitutiva de ciclina D. Esta translocação isolada não é responsável pelo linfoma de células do manto; no entanto, leva à instabilidade genética com subsequentes aberrações genéticas, que estão implicadas na agressividade da doença.

São reconhecidas duas formas diferentes de linfoma de células do manto. O linfoma de células do manto clássico é originado de células B que expressam SOX11 sendo caracterizado por hipermutação somática IgVH mínima e instabilidade genética. O SOX11 é um fator de transcrição normalmente ausente nas células B que atinge os genes reguladores do ciclo celular, os mecanismos de reparo do DNA e os mecanismos de sobrevivência celular, levando à cessação da diferenciação das células B e à proliferação de células anômalas. [3] O linfoma de células do manto clássico tende a ser mais agressivo, e os pacientes são mais sintomáticos no momento do diagnóstico. Pode-se observar comprometimento ganglionar, havendo tipicamente acometimento extranodal, muitas vezes no trato gastrointestinal.

A segunda forma de linfoma de células do manto é conhecida como variante leucêmica não nodal, e responde por 10% a 20% dos casos. [4] É gerada no centro pós-germinativo de células B SOX11-negativo com hipermutações IgVH, sendo mais estável geneticamente. A variante leucêmica do linfoma de células do manto tipicamente compromete o sangue periférico e o baço, poupando os linfonodos. Esta forma costuma ser indolente, mas pode conter outras mutações (TP53), que podem levar a uma doença mais agressiva. [3] À medida que mais mutações são adquiridas, isto pode levar a variantes blastoides e pleiomórficas. A variante blastoide é classificada por linfócitos de tamanho médio, com citoplasma indiferenciado e cromatina dispersa. O linfoma de células do manto clássico geralmente tem linfócitos de tamanho menor e cromatina condensada. [5]

Com base na apresentação inicial do paciente com esplenomegalia e linfocitose e linfadenopatia sem aumento dos linfonodos e discreta avidez FDG, o paciente pode ter a variante leucêmica que, teoricamente, está associada a doença indolente. Foi solicitada uma revisão patológica para identificação de SOX11 e p53 IHC na medula óssea.

Clinicamente, o linfoma de células do manto tem um grande leque de sintomas. Os pacientes podem ser assintomáticos, com linfocitose monoclonal tipo MCL. Alguns pacientes têm doença extranodal e sintomas gastrointestinais. Outros, têm sintomas B, citopenias, esplenomegalia e, raramente, sintomas neurológicos com comprometimento do sistema nervoso central (SNC). As formas mais clássicas nodais do linfoma de células do manto são as mais avançadas e sintomáticas no momento do diagnóstico, e exigem tratamento sistêmico. O linfoma de células do manto também pode se transformar de uma variante para outra, geralmente da clássica para a blastoide.

O método atual utilizado para o prognóstico é a pontuação de risco do Mantle Cell Lymphoma International Prognostic Index (MIPI), que leva em conta o estado geral, a idade, o LDH e leucometria (com ou sem Ki67); a categoria de risco é atribuída de acordo com o número de fatores de risco positivos. Nosso paciente tem uma pontuação MIPI simplificada igual a 4, colocando-o na faixa de risco intermediário, com provável mediana de sobrevida de 58 meses e sobrevida global de 35% em cinco anos. Ki-67 é descrito em percentual, é um marcador de divisão celular, com números mais elevados associados a doença mais agressiva; > 30% é frequentemente utilizado como ponto de corte para doença mais agressiva, apesar de o percentual permanecer subjetivo sobre o número de células que se coram. [6] O percentual de Ki-67 deste paciente não estava aumentado na sua primeira biópsia de medula óssea feita no momento do diagnóstico.

Outros fatores que têm sido associados a pior prognóstico: cariótipo complexo, mutaçõesou superexpressão TP53, translocação ou superexpressão MYC, e IgVH sem mutações. Outros fatores prognósticos propostos foram testar doença residual mínima, DNA tumoral circulante e mutações tumorais específicas (p. ex.: CDKN2A, ATM, MYC, NOTCH1, NOTCH2, BIRC3, BTK), bem como painéis de sequenciamento utilizados para determinar uma pontuação prognóstica. [4,7] Alguns desses fatores também podem ser correlacionados à resposta a determinados tratamentos sistêmicos. [4] Clot e colaboradores descreveram um ensaio molecular, junto com a complexidade genômica, que pode prever com precisão o subtipo de linfoma de células do manto e ajudar no prognóstico. [7]

No momento do diagnóstico, os pacientes geralmente têm doença avançada e são sintomáticos, com linfadenopatia generalizada. A base do tratamento tem sido a indução com imunoquimioterapia – com ou sem radioterapia. Os esquemas são:

  • Bendamustina + rituximabe (BR)

  • Rituximabe + ciclofosfamida, doxorrubicina, vincristina e prednisona (R-CHOP) /rituximabe com ciclofosfamida, vincristina e prednisona (R-CVP)

  • Rituximabe + ciclofosfamida fracionada, vincristina, doxorrubicina e dexametasona (R-hiperCVAD)

  • Rituximabe + dexametasona, citarabina e cisplatina (R-DHAP)

  • Protocolo NORDIC (especialmente para os pacientes mais jovens e saudáveis, que conseguem aguentar os efeitos colaterais da mielossupressão, das infecções associadas, a síndrome mielodisplásica e outras toxicidades)

O estudo BRIGHT comparou o esquema BR com R-CHOP e constatou uma eficácia semelhante com menos toxicidade no grupo BR; no entanto, foi observada maior incidência de câncer secundário no grupo BR. [8] O transplante de células-tronco hematopoiéticas (TCTH), autólogo e alogênico, costuma ser considerado, na esperança de uma remissão mais durável. Em pacientes que não são elegíveis para transplante, é feita a manutenção com rituximabe a cada oito semanas durante três anos, de acordo com um estudo europeu com maior sobrevida livre de progressão da doença e comparada ao interferon. [9,10]

Estes tratamentos de indução costumam ser difíceis para os idosos. Martin e colaboradores  revisaram estratégias sem quimioterapia para o linfoma de células do manto. [11] Vários estudos desses agentes como primeira linha estão em andamento, e os marcadores prognósticos estão sendo avaliados para determinar quais pacientes podem se beneficiar mais com estes tratamentos. Evitar a quimioterapia não é recomendado no momento, embora melhores esquemas terapêuticos sejam claramente necessários.

Além dos esquemas de quimioterapia de indução mencionados acima, outros medicamentos costumam ser utilizados como tratamento de segunda linha. Estes são bortezomibe-rituximabe, lenalidomida-rituximabe e tensirolimo. Os inibidores BTK ibrutinibe e acalabrutinibe e o inibidor BCL-2 venetoclax também têm sido utilizados. Ensaios clínicos com CD19 CAR-T estão em andamento com pacientes com doença refratária a outros tratamentos; entretanto, os pacientes com comprometimento do SNC geralmente são excluídos devido à neurotoxicidade do tratamento.

Um subconjunto de pacientes pode conseguir seguir uma estratégia de conduta expectante; em geral, estes são pacientes em bom estado geral, assintomáticos, que não têm sintomas B, apresentam LDH normal, sem doença nodal e com baixos percentuais de Ki-67. A conduta expectante foi estudada por um grupo de canadenses que avaliou 440 pacientes, dos quais 75 foram acompanhados durante três meses ou mais. [12] O tempo médio até o tratamento foi de 35 meses, e a sobrevida global neste grupo foi maior do que no grupo de tratamento precoce.

O comprometimento do SNC no linfoma de células do manto geralmente ocorre nos pacientes com recidiva, levando à questão de quais pacientes precisam de profilaxia para o SNC. Não foram estabelecidas diretrizes de profilaxia para os pacientes. No entanto, histologia blastoide, alto percentual de Ki-67, altos níveis de LDH e alta pontuação de risco podem sugerir a necessidade de considerar profilaxia para o SNC. [13] Quando os pacientes têm recidiva no SNC, geralmente é acompanhada de recidiva sistêmica. Vale ressaltar que o linfoma de células do manto tem predileção pela doença leptomeníngea, em comparação com o linfoma difuso de grandes células B, no qual a recidiva no parênquima pulmonar é mais frequente.

Em um estudo realizado por Cheah e colaboradores, a incidência de comprometimento do SNC ao diagnóstico foi de 0,9% e de 4,1%. [2] A mediana de sobrevida global no momento do comprometimento do SNC foi de 3,7 meses.

O comprometimento do SNC pode ser tratado de várias maneiras, inclusive com alguns quimioterápicos que atravessam a barreira hematoencefálica; quimioterapia intratecal; e radioterapia para pacientes com doença refratária, geralmente doença parenquimatosa. A quimioterapia sistêmica é feita, muitas vezes, com altas doses de metotrexato e citarabina, que podem ser usados em monoterapia ou em associação com R-CHOP. A quimioterapia intratecal pode ser feita com o tratamento triplo contendo metotrexato, citarabina e hidrocortisona; no entanto, metotrexato e citarabina lipossomal podem ser usados, bem como o metotrexato isolado. O tratamento triplo limpa rapidamente o liquor e, assim, exige a administração duas ou três vezes por semana até limpar o liquor. Esta é a abordagem geralmente utilizada pelos autores do caso em tela. A citarabina lipossomal tem meia-vida mais prolongada e tem sido associada a mais relatos de eventos adversos.

O TCTH tem sido utilizado como tratamento de consolidação nos pacientes com comprometimento do SNC, que têm mostrado taxas de remissão mais altas (>12 meses) no pequeno subgrupo de pacientes elegíveis para TCTH. [2] O ibrutinibe foi discutido em alguns relatos de caso, induzindo uma resposta rápida, drástica e sustentada em um paciente com linfoma de células do manto e recidiva sintomática no SNC. [14] Não está claro se os pacientes com doença de alto risco devem fazer profilaxia para o SNC, dada a raridade deste comprometimento; no entanto, a profilaxia deve ser considerada para os pacientes com doença de alto risco que recebem esquemas que não atravessam a barreira hematoencefálica.

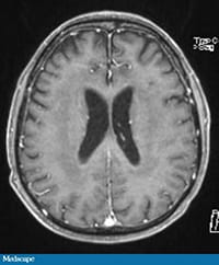
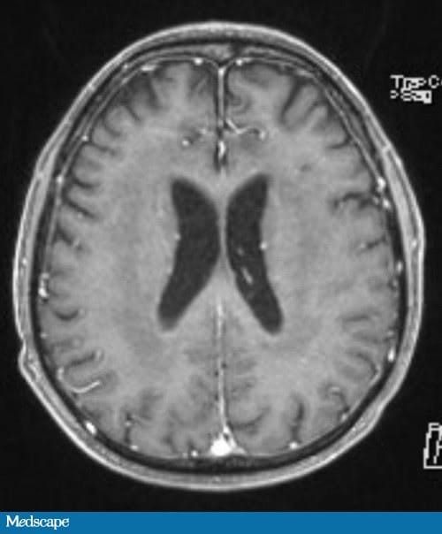
Neste caso, o paciente fez quimioterapia intratecal com metotrexato/citarabina/hidrocortisona três vezes por semana, seguida de ácido folínico durante três semanas quando seu líquido cefalorraquidiano estava com celularidade e citologia normais. Após a normalização do liquor, ele recebeu tratamento triplo intratecal semanal durante quatro semanas e a seguir a cada duas semanas, por um mês. Ele evoluiu com diarreia e desequilíbrio da marcha. Foi feita RM de crânio e da coluna vertebral, visto que o liquor estava normal (Figura 2).

A RM medular foi normal. A RM de crânio revelou alterações periventriculares na substância branca compatíveis com leucoencefalopatia. Ele também apresentava discreta fraqueza bilateral e reflexos tendinosos profundos reservados.

A neurotoxicidade associada a vários tipos de quimioterapia intratecal tem sido descrita em poucos relatos de caso. Não está claro se o agente específico utilizado tem algum efeito causal; a quimioterapia intratecal, muitas vezes, é feita com mais de um medicamento ou em combinação com a quimioterapia sistêmica, o que pode aumentar a toxicidade. [15] Outra questão é saber se o veículo usado para transportar a quimioterapia poderia ter alguma associação independente com a toxicidade neurológica. [16] A doença sendo tratada também pode alterar o perfil de toxicidade.

Uma série de relatos de casos descreveu o tratamento com citarabina lipossomal, especialmente quando utilizado em combinação com algum quimoterápico sistêmico que cruza a barreira hematoencefálica (p. ex.: o metotrexato); isto causa neurotoxicidade significativa, que nem sempre é reversível, e pode levar à morte em casos raros. [17] O metotrexato intratecal tem sido associado a leucoencefalopatia e/ou a neurotoxicidade, causando convulsões, confusão, cefaleia, bem como a síndrome da leucoencefalopatia posterior reversível. [18,19,20]

A quantidade de quimioterapia intratecal necessária para assegurar que o linfoma seja tratado adequadamente e evite efeitos colaterais prejudiciais permanece desconhecida. A dose acumulada pode não ser o único fator associado à toxicidade. Esta toxicidade pode ser reversível, como no caso deste paciente, e pode não ocorrer com a reexposição.

Comente

3090D553-9492-4563-8681-AD288FA52ACE
Comentários são moderados. Veja os nossos Termos de Uso

processing....