Professor aposentado de 77 anos com cefaleia constante

Dra. Amanda L. Blackmon; Dra. Laura Pinter-Brown

Notificação

15 de agosto de 2019

Nota do editor:

A série Casos Clínicos aborda doenças difíceis de diagnosticar, algumas das quais não são vistas com frequência pela maioria dos médicos, mas é importante poder reconhecer com precisão. Teste a sua capacidade diagnóstica e terapêutica com o caso desta paciente e as perguntas correspondentes.

Contexto

Um professor aposentado de 77 anos de idade procura atendimento de emergência com queixa de vertigem, falta de equilíbrio, náuseas e vômitos, e uma cefaleia constante há duas semanas. Ele descreve sua cefaleia como difusa e pulsátil. Sua história patológica pregressa revela hepatite C, hipotireoidismo, infecção por Helicobacter pylori e linfoma de células do manto, que foi diagnosticado há dois anos e atualmente está em remissão. O paciente faz uso de rituximabe como tratamento de manutenção. Ele toma lorazepam todas as noites para dormir.

O paciente informa ter viajado para o Brasil há três semanas. Sua família o descreve como estando mais confuso do que de costume. Ele tem ficado com os netos, que frequentam uma creche. O professor já fumou 40 maços de cigarro por ano e parou de fumar há 30 anos. Refere beber ocasionalmente e nega uso de drogas ilícitas. Atualmente mora com sua cara-metade. É HIV negativo. O seu status vacinal é desconhecido.

Exame físico e propedêutica

Ao exame físico, o paciente estava afebril e hemodinamicamente estável. Trata-se de um idoso com boa aparência, mas um pouco angustiado. Ele é normocefálico e não sofreu nenhum trauma. Suas mucosas estão úmidas e não há aumento das tonsilas palatinas. Pupilas isocóricas e fotorreagentes com boa acomodação. Movimentos extraoculares preservados. O exame neurológico não revela nenhum déficit focal. Sua força motora é de 5/5 bilateral em membros superiores e inferiores. Não apresenta linfadenopatia nem hepatoesplenomegalia.

Os exames laboratoriais são inocentes, com os seguintes resultados:

  • Leucometria: 6.100 células/mm3 (75% neutrófilos)

  • Hemoglobina B: 13,4 g/dL

  • Contagem de plaquetas: 163.000 células/mm3

  • Sódio: 136 mmol/L

  • Potássio: 3,7 mmol/L

  • Cloreto: 107 mmol/L

  • Bicarbonato: 26 mmol/L

  • Nitrogênio ureico: 23 mg/dL

  • Creatinina: 0,9 mg/dL

  • Glicose: 85 mg/dL

  • Fosfatase alcalina: 57 UI/L

  • Aminotransferase alanina: 11 U/L

  • Aminotransferase aspartato: 12 U/L

  • Bilirrubina total: 0,8 mg/dL

  • Albumina: 4,2 g/dL

  • Proteína total: 6,7 g/dL

  • Hormônio estimulante da tireoide: 1,18 mU/L

  • INR: 0,97

  • Tempo de tromboplastina parcial: 24,3 seg

  • LDH: 235 U/L

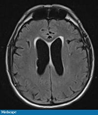
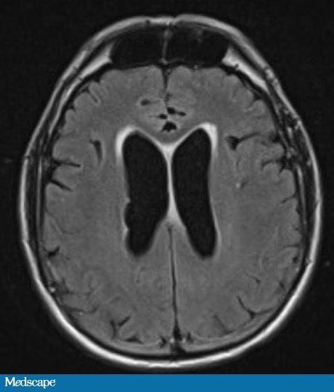
Ressonância magnética (RM) de crânio revela hidrocefalia leve a moderada (Figura 1).

Foi feita uma punção lombar com retirada de grande volume. A pressão de abertura foi de 27 cm H2O. A análise do fluído cérebro espinhal revelou 338 células nucleadas, 38% de linfócitos, 51% outras células, 11 eritrócitos, proteína de 1.530 mg/dL e 20 mg/dL de glicose. A cefaleia do paciente melhorou após a retirada do grande volume de liquor na punção lombar.

Comente

3090D553-9492-4563-8681-AD288FA52ACE
Comentários são moderados. Veja os nossos Termos de Uso

processing....