Nota do editor: A série Casos Clínicos aborda doenças difíceis de diagnosticar, algumas das quais não são vistas com frequência pela maioria dos médicos, mas é importante poder reconhecer com precisão. Teste sua capacidade diagnóstica e terapêutica usando o caso clínico a seguir e as perguntas correspondentes.
Anamnese
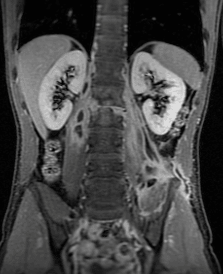
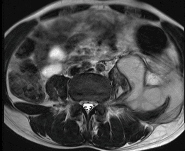
Paciente do sexo masculino, 28 anos, com dor lombar crônica agudizada após trauma direto.
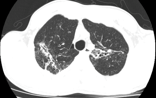
Figura 1.
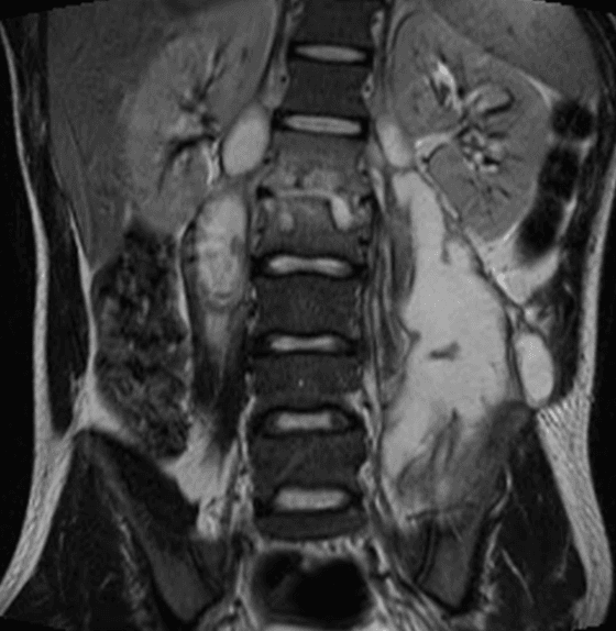
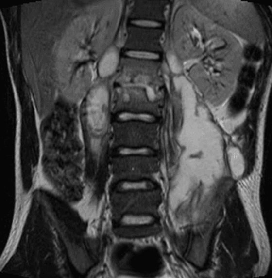
Figura 2.
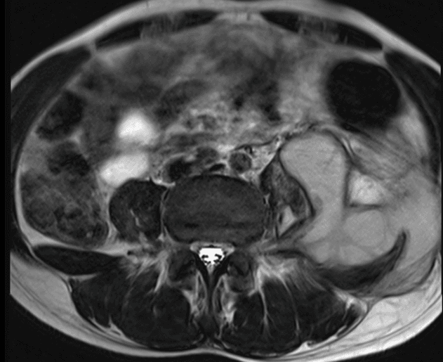
Figura 3.
© 2019 WebMD, LLC
As opiniões expressas aqui são de responsabilidade pessoal do autor e não representam necessariamente a posição da WebMD ou do Medscape.
Citar este artigo: Casos clínicos: dor lombar crônica agudizada após trauma direto - Medscape - 26 de julho de 2019.
Comente