Insuficiência hepática aguda em um homem de 64 anos de idade

Dr. Gregory Taylor; Dr. Adam M. Vieder

Notificação

6 de junho de 2019

Nota do Editor:
A série Casos Clínicos aborda doenças difíceis de diagnosticar, algumas das quais não são vistas com frequência pela maioria dos médicos, mas é importante poder reconhecer com precisão. Teste sua capacidade diagnóstica e terapêutica usando o caso clínico a seguir e as perguntas correspondentes.

Contexto

Um homem de 64 anos de idade e história de doença pulmonar obstrutiva crônica, uso excessivo de bebidas alcoólicas e depressão chega na unidade de tratamento intensivo transferido de outro hospital com quadro de insuficiência hepática aguda. O paciente tinha ingerido uma grande quantidade de comprimidos em uma tentativa de suicídio seis horas antes da chegada ao hospital de origem.

Os resultados mais relevantes da avaliação laboratorial inicial antes da UTI foram:

  • Etanol: 320 mg/dL

  • Paracetamol: 430 µg/mL

  • Aminotransferase aspartato (AST): 2.066 U/L

  • Aminotransferase alanina (ALT): 1.321 U/L

  • Potássio (sem hemólise): 7,6 mEq/L

  • Creatinofosfoquinase (CPK): 62.530 UI/L

Foi iniciada a administração de noradrenalina em bomba infusora e o paciente foi intubado por estar obnubilado. A hiperpotassemia foi tratada, foi iniciada a administração de N-acetilcisteína (NAC) e o paciente foi encaminhado para a UTI.

Exame físico e propedêutica

Ao chegar na unidade de tratamento intensivo, o paciente estava afebril. Sua pressão arterial era 94 mmHg × 57 mmHg (com 20 µg/h de noradrenalina). Frequência cardíaca de 92 batimentos por minuto. Frequência respiratória de 22 incursões respiratórias por minuto. Peso: 87 kg. A Saturação de oxigênio (SaO2) era de 96% em ventilação mecânica.

Ao exame físico, o paciente tinha icterícia difusa, cheiro de álcool e tabaco, e parecia ser muito mais velho do que a idade informada. Não estava em sofrimento agudo. Escleróticas ictéricas. Exame cardiopulmonar normal, sem alterações agudas. O exame do abdome revelou onda de líquido sem sinais de irritação peritoneal.

Os resultados laboratoriais relevantes foram:

  • Hemoglobina: 10,5 g/dL

  • Plaquetas 110 bil/L (trombocitopenia)

  • Sódio: 146 mmol/L

  • Potássio: 4,6 mmol/L

  • CO2: 21 mmol/L

  • Nitrogênio ureico: 26 mg/dL

  • Creatinina: 3,02 mg/dL

  • AST: 2.094 U/L

  • ALT: 1.685 U/L

  • Bilirrubina total: 0,4 mg/dL

  • INR: 2,11

  • Troponina: 35,25 ng/mL (aumentando para 44,66 ng/mL)

  • Paracetamol: 237 µg/mL

  • CPK: 57.000 UI/L

A ultrassonografia de abdome revelou aumento difuso da ecogenicidade hepática sugerindo doença hepatocelular, cirrose e uma pequena quantidade de ascite peri-hepática.

A avaliação cardiológica verificou que o aumento dos níveis da troponina foi multifatorial, com desequilíbrio tipo 2 entre a demanda e a oferta miocárdica de O2 secundária à disfunção endotelial, hipotensão, depleção de volume, rabdomiólise, insuficiência renal aguda e insuficiência hepática. O infarto do miocárdio sem supradesnível ST provavelmente resultou da ruptura de placa no quadro da insuficiência renal aguda e da insuficiência hepática fulminante.

Dada a falência de múltiplos órgãos do paciente e o prognóstico reservado, foi recomendado um tratamento conservador. Foi iniciada infusão de heparina de baixa intensidade por 48 horas. A equipe de transplante não o considerou bom candidato ao transplante hepático do ponto de vista cirúrgico, com preocupações relativas à adesão, quadro cardíaco, intoxicação alcoólica e tentativa de suicídio.

No terceiro dia, a creatinina do paciente aumentou para 4,18 mg/dL e ele evoluiu para anúria. A AST aumentou para 3.895 U/L e a ALT aumentou para 3.215 U/L, apesar da administração intravenosa de N-acetilcisteína. O lactato aumentou de 2,2 mmol/L para 8,2 mmol/L, com intervalo aniônico de 25. Foi feita diálise.

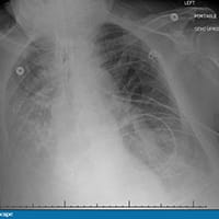
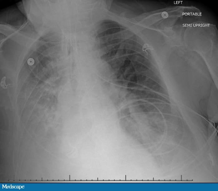
No quarto dia foi iniciado um esquema contendo vancomicina e piperacilina/tazobactam para pneumonia nosocomial. A radiografia de tórax revelou opacidades difusas nas bases pulmonares (Figura 1).

Apesar do suporte com vasopressores em dose máxima, o paciente continuou a afundar e não tinha controle neural ventilatório. Foi feita uma reunião com a família e eles optaram por desligar os equipamentos. O paciente morreu pouco depois.

Comente

3090D553-9492-4563-8681-AD288FA52ACE
Comentários são moderados. Veja os nossos Termos de Uso

processing....