Nota do Editor:
A série Casos Clínicos aborda doenças difíceis de diagnosticar, algumas das quais não são vistas com frequência pela maioria dos médicos, mas é importante poder reconhecer com precisão. Teste sua capacidade diagnóstica e terapêutica usando o caso clínico a seguir e as perguntas correspondentes.
Contexto
Um menino de dois anos de idade é trazido para o pronto-socorro (PS) com febre e mal-estar de início há quatro dias. A mãe o tratou com ibuprofeno infantil (100 mg). Após seis horas, a febre e o mal-estar persistiram; a mãe lhe deu ibuprofeno novamente.
No dia seguinte, a criança acordou com exantema, inicialmente na face e na parte superior do corpo. A mãe o levou ao pronto-socorro de um hospital local. O menino foi diagnosticado com varicela e a mãe foi instruída a mantê-lo em repouso e tratá-lo com hidratação e ibuprofeno, se necessário para a febre.
Sua mãe observou o agravamento dos sintomas em 24 horas e levou a criança de volta ao PS.
Exame físico e exames complementares
Ao exame físico, a criança parecia doente, com dores generalizadas, mal-estar e febre de 39,4 °C. Foi observado eritema generalizado com lesões em alvo, púrpura e bolhas centrais associadas principalmente no tronco e nos membros. Um exemplo de aparência semelhante em um adulto é mostrado na Figura 1. A criança também apresentava ulcerações nos lábios e na língua. As úlceras eram dolorosas à palpação, com aparência hemorrágica.
Figura 1.
O exame dos olhos revelou conjuntivite aguda, com hemorragia subconjuntival em ambos os olhos associada a ulcerações hemorrágicas nas pálpebras, lacrimejamento e secreção amarelada em ambos os olhos.
A criança foi internada para fazer tratamento de suporte. Foram obtidas amostras de sangue e urina. Os exames laboratoriais revelaram anemia leve, discreta leucocitose inespecífica e níveis elevados de interleucina-6 (IL-6) e proteína C-reativa (PCR). Os eletrólitos e outros exames bioquímicos foram normais. A análise de urina não revelou patologia.
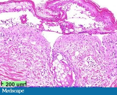
Um dermatologista foi consultado e foi feita biópsia de pele. A histopatologia da biópsia de pele revelou necrose de toda espessura da epiderme com leve infiltrado nas células inflamatórias da derme (Figura 2).
Figura 2.
© 2019 WebMD, LLC
As opiniões expressas aqui são de responsabilidade pessoal do autor e não representam necessariamente a posição da WebMD ou do Medscape.
Citar este artigo: Menino de dois anos com exantema de face - Medscape - 20 de fevereiro de 2019.
Comente