Imagens comentadas
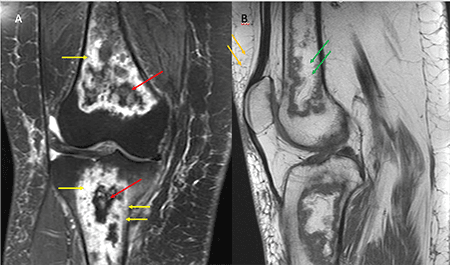
Ressonância magnética (RM) do joelho direito evidenciando lesões com aspecto geográfico acometendo grande parte das porções visualizadas da tíbia e do fêmur, caracterizando infartos ósseos. Em A, sequência DP com supressão de gordura (SG) no plano coronal mostra lesão com baixo sinal em sua porção central (seta vermelha), associada a edema adjacente (seta amarela). Em B, sequência T1 no plano sagital evidenciando lesão com margens serpiginosas e alto sinal no interior (setas verdes), provavelmente por conteúdo gorduroso (notar que o interior da lesão tem o mesmo sinal da gordura do tecido subcutâneo – seta laranja).
RM de joelho, sequência ponderada em DP com SG no plano sagital, observa-se o sinal do duplo contorno, caracterizado por um halo de hipersinal na margem interna da lesão representando tecido de granulação (seta amarela), e um halo de baixo sinal na margem externa, representando osso esclerótico (seta vermelha).
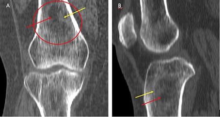
Tomografia computadorizada (TC) nos planos coronal (A) e sagital (B) evidenciando lesão heterogênea com centro radiolucente (setas vermelhas) e halo esclerótico (seta amarela).
Links Relacionados
© 2018 WebMD, LLC
As opiniões expressas aqui são de responsabilidade pessoal do autor e não representam necessariamente a posição da WebMD ou do Medscape.
Citar este artigo: Caso Clínico: mulher de 53 anos com quadro de dor crônica na face anterior e medial do joelho direito - Medscape - 12 de outubro de 2018.
Comente