Nota do editor: A série de Casos Clínicos inclui doenças de difícil diagnóstico, algumas das quais não são encontradas com frequência pela maioria dos clínicos, mas ainda assim é importante saber reconhecê-las de forma precisa. Teste suas habilidades de diagnóstico e tratamento usando o seguinte cenário clínico e questões correspondentes. Se você tem um caso que gostaria de sugerir para um futuro Caso Clínico, por favor entre em contato conosco .
História Clínica
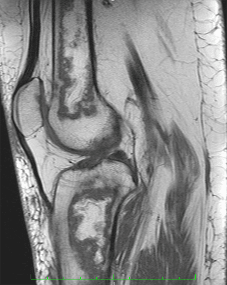
Paciente do sexo feminino, com 53 anos e quadro de dor crônica no joelho direito, principalmente na face anterior e medial. Ela refere piora da dor há uma semana, apresentando dificuldade na deambulação. Nega trauma e relata ter se submetido à cirurgia no tornozelo direito. Refere tratamento para asma brônquica com corticoide há anos.
Exames de imagem
© 2018 WebMD, LLC
As opiniões expressas aqui são de responsabilidade pessoal do autor e não representam necessariamente a posição da WebMD ou do Medscape.
Citar este artigo: Caso Clínico: mulher de 53 anos com quadro de dor crônica na face anterior e medial do joelho direito - Medscape - 12 de outubro de 2018.
Comente